前言
前言 Foreword
丹育猪以高产著名于世,但由于猪场建设、饲养管理等诸多方面的挑战,让丹育猪在中国的生产性能未能达到预期,但丹育种猪在中国养猪业的受青睐程度仍越来越高。猪译馆特收集整理了一系列丹育相关资料,目前正在转载由喜肉科技携手英联饲料和华扬种猪联合推出的丹麦养猪研究中心制作的丹育《配种管理手册》,敬请关注。
编者的话 Editor's Note
配种是新一轮生产的开始,配种质量会直接影响受胎率、分娩率、产仔数、断奶数等一系列关键的KPI。因此配种舍的正确管理有助于提高和维持母猪高产、稳产。本手册详细讲解了不同生产模式下查情和配种的各种技巧,其中很多章节图文并茂可以直接作为SOP使用。
18.扫描孕检技术
SCANNING TECHNIQUE
>18.1
18.1良好的、有规律的妊娠鉴定是扫描
Good And Systematic Pregnancy Control Is Done By Scanning
所有的母猪在第24天时扫描。All sows are scanned at day 24.
记得扫描病猪舍内的母猪。
Remember to scanne sows in the hospital pen.
工作人员应注意手臂、手、膝盖和脚趾不要被栏 中的母猪挤伤。
Be aware that your arms, hands, knees and toes don’t get squeezed in the inventory if the sows are in boxes.
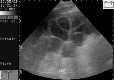
扫描仪的探头涂上耦合剂后置于腹股沟部。
The scanner head is applied gel and is placed in the groin.
缓慢地移动探头,直至出现胚胎清晰的图像。
lowly move the scanner head around until there is a clear picture of the fetus.
如果图像模糊不清,要涂更多的耦合剂。
If the image is blurred, apply more gel.
至少要发现3个不同的胚囊,才可判断为妊娠。
Only the discovery of at least 3 distinct fetal bladders is a sure sign of pregnancy.
如果不确定扫描结果,标记该母猪,并在一个星 期内再次扫描。
If you are unsure of the diagnosis, then mark the sow, and scan again within a week.
要在空怀母猪的背上标一个“减号”,并转回配种舍。
Empty sows are marked with a minus sign on the back and are moved back to the mating unit.
如果分娩率低于85%。需在妊娠第6周时再进行一次扫描。
If the farrowing rate is below 85 % it is recommended to scan a second time in 6th week of gestation.


18.2
错误
Errors
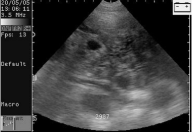
扫描时最普遍的错误:
The most common error when scanning is:
空怀母猪被扫描成怀孕母猪
An empty sow is being scanned pregnant.
由于时间匆忙而将暗的斑点看成是胚胎。
Hurry, where a dark smudge is assessed as a fetus.
如母猪的一侧被装满尿液的膀胱遮住,则在另一侧扫描。
A fifilled urine bladder covers the embryos – try the other side.
将囊肿与胚胎混淆。
Cysts can be confused with embryoss.
怀孕母猪被扫描成空怀母猪
A pregnant sow is scanned empty.
胚胎较少,且只在母猪的一侧扫描了一次。
A sow with few embryos with only one scanning on one side.
母猪在配种后不到24天就进行扫描。
A sow, which is mated less than 24 days before the scan.
18.3
补充说明: 扫描技术
Additional Comments: Scanning Technique

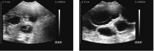
有囊肿的空怀母猪。这头母猪永远不会怀孕。
Scan of empty sow with cysts. This sow will never be pregnant.

有一个副卵巢囊肿的母猪。这头母猪能够怀孕。
Scanning of sow with one paraovarian cyst. This sow could get pregnant.

扫描配种第24天的母猪,大的胚胎囊可以很容易的看到。
Scans day 24. Large embryos bladders which are easy to see.

位置1的超声波图像.
Ultrasound image position 1.

位置2的超声波图像.
Ultrasound image position 2.

位置3的超声波图像.
ltrasound image position 3.

位置4的超声波图像.
Ultrasound image position 4

位置5的超声波图像.
Ultrasound image position 5
>19.用公猪来进行妊娠鉴定
USING THE BOAR FOR PREGNANCY CONTROL
19.1
19.1在妊娠舍,公猪的任务是进行发情鉴定
In The Gestation Unit The Boars Job Is To Make Heat Control
发情鉴定可以通过下列几点来完成:
Heat control can be achieved by:
让公猪在妊娠舍内的观察通道上走动。处于发情期的母猪会靠近公猪。
The boar walks around on the inspection path in the gestation unit. The sows that are in heat, will seek out for the boar.
将公猪放入母猪群时,要注意观察。
The boar is in the group under observation.
公猪舍内装一台监视器,这可检测母猪是否过来接触公猪和接触的频率。
The boar is housed in an enclosure with a boar detector which detects if the sow visits the boar andhow often.
公猪必须要每个星期换一次猪舍,这样可以保持其新鲜感。
Boars must change pen every week to maintain their novelty value.
公猪需正确饲喂。
The boar must be fed properly.
对于一头好的公猪,有以下要求:
For a good boar there are following requirements:
公猪必须活跃,性欲强。
He must be active and virile.
公猪必须善于交际,友善。
He must be sociable.
公猪必须有良好的体质。
He must have a good constitution.
公猪不能太大,不然会吓到小的母猪。
He must not be too big, so he scares the small sows.
公猪必须正确的接种疫苗。
He must be vaccinated proberly.
记住,无论用什么方法,公猪只能发现那些发情明显的母猪。
Remember, whatever methods, the boar can only fifind the sows that show oestrus.
公猪的效果会不明显,如果
The boar has little effffect if.
公猪总是和母猪在一起。
The boar always goes together with the sows.
公猪过于激烈,并一直在猪舍内追逐某些特定的母猪。
The boar is too violent and chases certain sows in the pen.
公猪的性情不确定。
The boar is unpredictable.
公猪无精打采。
The boar is lethargic.

在有良好条件的圈舍内的好公猪。
Nice boar with good housing conditions.

公猪对母猪产生兴趣。
Boar seeks sow.

活跃的公猪。
An active boar.

懒惰的公猪。
An indolent boar.
19.2
补充说明: 用公猪来进行妊娠鉴定
Additional Comments: Using The Boar For Pregnancy Control
当公猪在妊娠舍内走动时,要仔细观察母猪的行为。对公猪感兴趣和显示出发情迹象的母猪,要做标记并转移到配种舍。
When the boar is taken around the gestation unit, the sows’ behavior should be observed carefully. Sows showing interest in the boar and shows signs of oestru, is marked and moved to the mating unit.
不建议将公猪和妊娠母猪饲养在同一圈舍内。公猪不可能会和所有的返情母猪完成交配,也不能让所有的返情母猪出现明显的发情症状。鉴定因 此会变的困难。
It is not recommended to house the boar in the pen with the pregnant sows. The boar will not necessarily mate all the returners and inspection will not detect all the returners. The control will therefore become diffiffifficult.
如果公猪安置在有监视器的圈舍内,那对圈舍有特定的要求。公猪要能够看到其它母猪。要确保公猪不着凉,因此,猪舍必须有垫料,甚至安装保温盖。母猪去接触公猪将会被电子仪器自动记录下来,但不能保证所有的发情母猪都会和该公猪接触。
If the boar is housed in a boar detector pen there are certain requirements for the pen layout. The boar should be able to see other animals. It should be ensured that the boar does not freeze. Therefore, the pen must be properly bedded maybe with a cover. Sows that seek out the boar are recorded electronically. There is no guarantee that all oestrus sows will contact the boar.
公猪必须每个星期换一次地方,这样可以保持新鲜感。公猪每14天要交配一头母猪,这确保它不会失去性欲。
The boar must change place weekly, so he preserves =novelty effffect. The boar should every 14 day be allowed to mate a sow so he does not loose interest.
公猪根据下表饲喂:A boar is fed according to the following instructions:

在公猪与母猪接触前,需要接种跟后备母猪一样的基本疫苗(猪细小病毒、猪丹毒病毒等)。然后它要跟经产母猪一样,大约每年接种2-2.5次疫苗。
Before the boar comes in contact with the sows, he should have received the basic vaccines like the gilts. (PPV, erysipelas, etc.) Then he should be vaccinated as sows – approx. 2-2,5 times annualy.
苹果种植
香蕉种植
葡萄种植
草莓种植
西瓜种植
柑桔种植
芒果种植
梨树种植
枣树种植
农药百科
肥料百科
植保百科






















